One of the most powerful aspects of Scalpel At The Cross is the way stories of hope and healing intertwine—between patients, providers, and volunteers alike. Few stories capture this intersection more clearly than that of Nikki Lavin.
Before Nikki ever served in Pucallpa, she knew what it meant to be on the other side of injury.
A Season of Vulnerability
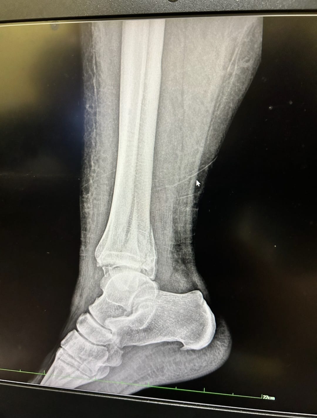
While serving on a medical mission in Guatemala in March 2024, Nikki sustained a serious ankle fracture—an injury that left her suddenly immobile, uncertain, and afraid. As an ICU nurse at Regions Hospital in the Twin Cities of Minnesota, she understood the medical realities of trauma, but that knowledge didn’t remove the emotional weight of becoming a patient herself.
In that vulnerable moment, Nikki knew she wanted Dr. Peter Cole—Chief of Orthopaedics at Regions Hospital and founder of Scalpel At The Cross—to be her surgeon.
From the very first appointment, something shifted. Nikki recalls feeling an overwhelming sense of reassurance—I’m going to be okay. When she was eventually told she was fully healed, the tears returned, this time not from fear, but from gratitude. She had walked through pain and come out restored, supported by a surgeon who treated more than just her injury.
That experience stayed with her.

The following year in July 2025, that same ankle carried Nikki to Peru as part of Scalpel’s 2025 summer campaign. Serving as a volunteer nurse, equipment assistant, and ambulance staff accompanier, Nikki stepped into Pucallpa with a unique perspective. She had once needed the same reassurance she now offered others.
Inside the operating room, she watched Dr. Cole advocate for patients with skill, compassion, and presence. For Nikki, it felt almost surreal as she was witnessing the same care that had once changed her own life.
Outside the OR, Nikki connected with patients in recovery. One young man, facing devastating femur and ankle fractures with significant complications, became especially meaningful to her. Nikki visited him daily, encouraging him, sharing her own story of injury and healing, and reminding him that he was not alone. Less than 24 hours after his long, complex surgery, Nikki saw him sitting up and smiling. In that moment, she saw the heart of Scalpel fully embodied.
Beyond the OR
Nikki’s healing journey didn’t stop at the hospital doors. On a visit to the sand dunes of Huacachina, she confronted lingering fear tied to her past ankle injury. The unstable ground triggered hesitation, but with encouragement she pressed forward. She finished the climb on the very ankle that once kept her immobile. She embraced her surgeon—now her teammate—sharing a moment that symbolized just how far she had come.
Why Scalpel Matters
Having served on medical relief trips across Haiti, India, andPeru, Nikki wasn’t surprised by Pucallpa’s warmth, resilience, or humanity. What stood out instead was how deeply aligned Scalpel’s work felt with the true purpose of healthcare.
Nikki saw firsthand that Scalpel is about more than surgery. It’s about restoring dignity, offering hope, and caring for the whole person—physically, emotionally, and spiritually. Serving with Scalpel allowed Nikki to reconnect with why she entered healthcare in the first place: to serve, to heal, and to give fully. For Nikki, this mission will always be personal.







